Différents facteurs peuvent influer sur la coloration des dents : couleur d’origine, mode de vie (consommation de café ou de thé, tabac…), prise de certains médicaments, vieillissement. Le blanchiment « au fauteuil » apporte une réponse pour les dents qui sont très jaunies.
Blog
Sceller les sillons consiste à couler une résine fluide et fluorée dans les sillons des premières et deuxièmes molaires permanentes des enfants afin de les obturer.
L’émail de la dent étant légèrement poreux, le tabac, le thé, le café, certains bains de bouche peuvent donner à vos dents une coloration disgracieuse.
Le sucre est source de gros dégâts pour les dents. Il peut les détruire et parfois faire souffrir d’une bonne « rage de dent ».
L’orthodontie consiste à déplacer les dents et à modifier la croissance des mâchoires afin de retrouver un alignement dentaire harmonieux et d’améliorer les fonctions orales.
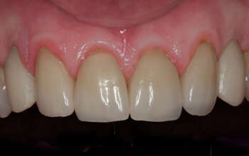
Implantologie, Paris : Quelques cas d'implants traités au cabinet dentaire du Dr DAAS, dans le 6ème à Paris.





