Sceller les sillons consiste à couler une résine fluide et fluorée dans les sillons des premières et deuxièmes molaires permanentes des enfants afin de les obturer.
BIENVENUE !
Les Docteurs Marwan DAAS et Melissa BADEDJI, chirurgiens-dentistes qualifié vous accueille au 62 Boulevard de la Tour Maubourg à PARIS 7ème arrondissement, pour réaliser des soins complets et réhabiliter l'esthétique de votre sourire.
Les progrès importants que réalise la dentisterie actuelle permettent de vous accompagner au quotidien au cabinet dentaire de Paris 7, afin de rétablir une bonne santé bucco-dentaire, grâce à des soins personnalisés et adaptés, avec la préoccupation constante de votre esthétique dentaire.
Que se soit pour un simple blanchiment, une édentation partielle ou complète, les Dr DAAS et BADEDJI et leur équipe sont là pour vous rendre le sourire !
Les praticiens
Cursus professionnel du Dr Marwan DAAS, chirurgien-dentiste à Paris 7 ème arrondissement 75007, pratiquant la dentisterie esthétique (blanchiment, facettes dentaires, couronnes céramo-céramiques,...), la prothèse sur implants dentaires, la prothèse sur dents naturelles et la prothèse complète.
Le Docteur Marwan DAAS est diplômé de la Faculté de Chirurgie Dentaire PARIS V, Université PARIS-DESCARTES.
Titulaire des C.E.S de Biomatériaux, de Prothèse Fixée, de Prothèse Adjointe Partielle et de Prothèse Adjointe Complète de la Faculté de Chirurgie Dentaire PARIS V, Université PARIS-DESCARTES, le Docteur Marwan DAAS possède également un Diplôme Universitaire de Prothèse Complète de la Faculté de Chirurgie Dentaire PARIS V Université PARIS-DESCARTES.
Tout d’abord membre du service de prothèse complète de la Faculté, il devient Maître de Conférences en prothèse conjointe et implantaire de la Faculté de Chirurgie Dentaire PARIS V, Université PARIS-DESCARTES en 2006.
Docteur en Biomécanique de l‘École Nationale des Ingénieurs de Metz, il est lauréat de l’Académie Nationale de Chirurgie Dentaire en 2009 pour ses travaux consacrés à la modélisation par éléments finis des traitements implantaires.
Le Docteur Marwan DAAS est praticien hospitalier au sein du service d’Odontologie de l’Hôpital Louis Mourier, Assistance Publique Hôpitaux de Paris. Il y dirige les départements de prothèses conjointe et implantaire.
Le Docteur Marwan DAAS est co-directeur du Diplôme Universitaire d’Implantologie Orale de la Faculté de Chirurgie Dentaire PARIS V, Université PARIS-DESCARTES.
Auteur de nombreuses publications nationales et internationales, le Docteur Marwan DAAS est le co-auteur avec les Drs Michel POSTAIRE et Karim DADA d’un livre consacré aux traitements par implants dentaires de l’édenté complet mandibulaire (Réussir Prothèses et Implants chez l’édenté complet mandibulaire, éditions Quintessence International) et d’un livre consacré aux traitements par implantologie assistée par ordinateur des différents types d’édentements (Les traitements implantaires par NobelGuide, éditions Quintessence International).
Le Docteur Marwan DAAS est également le co-auteur avec les Drs Karim DADA et Paulo Malo, inventeur du concept All-on-4, d’un livre consacré aux traitements par implants dentaires de l’édenté complet maxillaire (Esthétique et Implants pour l’édentement complet maxillaire, éditions Quintessence International).
Docteur Marwan DAAS
Docteur en Chirurgie Dentaire de l'Université Paris Descartes
Inscription à l'ordre n° 17813
Diplômé de l'Université Paris Descartes
Docteur Melissa BADEDJI
Chirurgien-Dentiste
Diplômée de l'Université Paris Descartes
Le Dr Mélissa Badedji est diplômée de la Faculté de Chirurgie Dentaire Paris V, Université PARIS-DESCARTES.
Université PARIS DESCARTES (département de Prothèse) et dans le service d'Odontologie de l'Hôpital Louis MOURIER à Colombes.
Le Docteur Mélissa BADEDJI est titulaire d'un CES de parodontologie de l'Université René Descartes-Paris V
Le Docteur Mélissa BADEDJI pratique : La dentisterie restauratrice
- Prise en charge des lésions carieuses
- Endodontie
- Restaurations composites directes
- Micro dentisterie
Actualités
Le sucre est source de gros dégâts pour les dents. Il peut les détruire et parfois faire souffrir d’une bonne « rage de dent ».
L’endocardite infectieuse (fixation et multiplication d’une bactérie sur le cœur) est une maladie grave dont l’origine bucco-dentaire est fréquente.
L’endodontie s’attache à la prévention, au diagnostic et au traitement des maladies de la pulpe dentaire.
Une dent dévitalisée et soignée peut s’infecter et nécessiter une reprise du traitement de la racine ou « retraitement endodontique ».
Le cabinet
Le cabinet en images
Informations pratiques
Sur rendez-vous :
En appelant au 01 42 88 40 81
Le cabinet est ouvert tout le mois d'Août
En cas d'urgence, cliquez-ici
Horaires d'ouverture :
| Lundi | 9h - 19h |
| Mardi | 9h - 19h |
| Mercredi | 9h - 19h |
| Jeudi | 9h - 19h |
| Vendredi | 9h - 19h |
| Samedi | 9h - 18h |
| Dimanche | Fermé |
L'équipe du cabinet
Carole
Assistante dentaire qualifiée
Aide opératoire et en charge de la stérilisation du matériel.
Souad
Assistante dentaire qualifiée
Aide opératoire et en charge de la stérilisation du matériel.
Karine
Accueil et secrétariat du cabinet
Docteur Melissa BADEDJI
Chirurgien-Dentiste
Diplômée de l'Université Paris Descartes
Docteur Marwan DAAS
Docteur en Chirurgie Dentaire de l'Université Paris Descartes
Inscription à l'ordre n° 17813
Diplômé de l'Université Paris Descartes
Plan d'accès
Moyens d'accès :
Par le bus
- Ligne n° 28 ; arrêt " La Tour-Maubourg "
- Ligne n° 69 ; arrêt " La Tour-Maubourg "
Par le métro
- Ligne n°8 ; station " La Tour-Maubourg "
Parking public :
Parking Invalides
23 Rue de Constantine
75007 Paris
Vinci Park Services
2 Place Joffre
75007 Paris
Cas cliniques
Cas 1: Réhabilitation globale avec des Facettes céramiques antérieures
Cas 2: Blanchiment et Facettes céramiques - Avant
Apres
Cas 3: Extraction implantation et Bridge complet céramique Maxillaire sur armature en zircone - Avant
Apres
Cas 4: Courone céramique sur implant - Avant
Après
Cas 5: Bridge complet sur implants Maxillaire et Mandibulaire - Avant
Après
Cas 6: Passage à l’édenté complet avec mise en charge immédiate d’un bridge complet sur implants Maxillaire
Cas 7: Couronnes en céramique sur dents naturelles et implants
Cas 8: Passage à l’édenté complet avec une prothèse amovible complète immediate Maxillaire
Cas 9: Passage à l’édenté complet avec une prothèse amovible complète immédiate Maxillaire
Cas 10: Réhabilitation globale - Avant
Apres
Cas 11: Erosion et restauration avec des facettes
Cas 12: Facettes céramiques améliorant la proportion des dents
Cas 13: Remplacement de couronnes céramiques
Cas 14: Réhabilitation complète Maxillaire avec un bridge complet céramique sur implants
Cas 15: Réhabilitation globale
Cas cliniques vidéos
Ces cas cliniques sont une illustration pédagogique de traitements prothétiques et esthétiques pratiqués par le Dr Marwan DAAS et son équipe au sein de son cabinet dentaire à Paris 7 ème arrondissement, 75007. L'objectif de ceux ci est de mettre en image ces soins dentaires pour une meilleure compréhension.
Couronnes céramiques et facettes dentaires
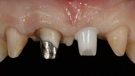
Implant dentaire remplaçant une incisive centrale, pilier en zircone et couronne céramo-céramique
Greffe osseuse, implants dentaires remplaçant deux incisives centrales, couronnes céramiques
Implants dentaires, agénésie des incisives latérales, facettes et couronnes céramiques
Edentement total et prothèses amovibles complètes
Implantologie assistée par ordinateur: remplacement de toutes les dents postérieures
Remplacer toutes ses dents par des implants dentaires: All-on-6 & All-on-4
Extractions des dernières dents et remplacement par une prothèse fixée immédiate sur implants dentaires
Les prothèses
Les couronnes et les bridges sont des dents de substitution personnalisées, conçues pour offrir la même apparence et procurer les mêmes sensations que vos dents naturelles. Ces dents de substitution peuvent être placées sur des dents naturelles ou sur des implants.
La prothèse amovible sur implants est une solution qui permet de stabiliser une prothèse amovible totale (dentier) en la fixant sur des implants prévus à cet effet.
Une dent abîmée peut être reconstruite avec ce que l’on appelle une prothèse dentaire fixe.
Un inlay-core est un dispositif prothétique qui permet de reconstruire la partie visible de la dent et qui servira de support pour la mise en place d’une couronne.
Une prothèse amovible est un appareil dentaire qui peut être inséré et retiré à volonté. Ce type de prothèse nécessite une période d’adaptation et un suivi régulier.
Les prothèses amovibles complètes permettent de remplacer l’ensemble des dents sur une mâchoire. Elles peuvent être insérées et enlevées à volonté.
Les couronnes prothétiques permettent de reconstruire des dents très délabrées, qu'elle soient dévitalisées ou non.
Un bridge est une prothèse fixe permettant de remplacer une ou plusieurs dents manquantes en s'appuyant sur les dents adjacentes.
Une prothèse amovible partielle remplace une partie seulement des dents sur une mâchoire. Elle peut être insérée ou retirée à volonté.
Les inlays et les onlays sont des alternatives aux plombages ou aux résines de volume important, et permettent parfois d’éviter une prothèse nécessitant une préparation plus importante de la dent.
Les prothèses dentaires servent à remplacer soit une partie de dent, soit une ou plusieurs dents. Il existe différents types de prothèse.
Un bridge est une prothèse fixe permettant de remplacer une ou plusieurs dents en s’appuyant sur les dents adjacentes.
Une couronne permet de reconstruire une dent très délabrée, dévitalisée ou non. Son choix s’effectuera en fonction de la qualité et du résultat esthétique attendu.
Les inlays et les onlays sont des prothèses dentaires qui permettent une reconstitution esthétique de la partie abîmée d’une dent cariée.
Cette couronne tout céramique comporte un noyau à base d’alumine ou de zircone recouvert d’une céramique esthétique.
ENDODONTIE
Sceller les sillons consiste à couler une résine fluide et fluorée dans les sillons des premières et deuxièmes molaires permanentes des enfants afin de les obturer.
Le sucre est source de gros dégâts pour les dents. Il peut les détruire et parfois faire souffrir d’une bonne « rage de dent ».
L’endocardite infectieuse (fixation et multiplication d’une bactérie sur le cœur) est une maladie grave dont l’origine bucco-dentaire est fréquente.
L’endodontie s’attache à la prévention, au diagnostic et au traitement des maladies de la pulpe dentaire.
Une dent dévitalisée et soignée peut s’infecter et nécessiter une reprise du traitement de la racine ou « retraitement endodontique ».
De 6 mois à 6 ans environ, les enfants n’ont que des dents de lait. A 14 ans les dents définitives sont présentes, sauf les dents de sagesse.
Les micro-réveils nocturnes peuvent être le signe d'une apnée du sommeil avec obstruction respiratoire. Si vous êtes concerné, consultez rapidement pour retrouver un sommeil serein !
La quantité de fluor présente dans les eaux minérales est très variable et il est important pour vous de bien la connaître.
Le PRF (Protéine Riche en Fibrine) est un concentré de plaquettes sanguines et cellules immunitaires, accélérateur du temps de cicatrisation.
Le parodonte est l’ensemble gencive / os / ligament qui soutient les dents. Son inflammation peut avoir des répercussions sur la santé en général.
Invisalign® est un traitement orthodontique basé sur le port successif d’une série de gouttières transparentes.
Les caries dentaires affectent 60 à 90 % des enfants d’âge scolaire et la majorité des adultes. Mieux les comprendre permet de mieux les éviter !
La dévitalisation consiste à retirer le nerf d’une dent lorsque celui-ci a été endommagé par une carie profonde, une fêlure ou un choc.
Un abcès est une infection purulente qui provoque une vive douleur accompagnée de symptômes locaux (gonflement) ou généraux (fièvre).
Petites lésions apparaissant sur la langue ou la gencive, les aphtes sont généralement sans gravité. Quelle est leur origine et comment soulager la gêne et la douleur ?
Les mycoses buccales se développent principalement sur la langue et à l’intérieur de la bouche lorsque l’équilibre bactérien est rompu.
Le bruxisme est l’action de grincer des dents, particulièrement durant le sommeil, en produisant des bruits de frottements dentaires.
La réduction de la sécrétion salivaire se traduit par des sensations de picotements, de soif, une difficulté à mastiquer et à avaler.
Dans quels cas est-il nécessaire de procéder à une extraction dentaire et comment se déroule l’intervention ?
Une extraction est une opération courante et indolore, mais chacun veut éviter que l’on ne remarque cette dent absente dans son sourire.
Chez l’enfant comme chez l’adulte, tout accident qui affecte les dents est une urgence ! Quels
sont les premiers soins et le suivi dans la durée ?
La bonne préparation d’une intervention dentaire vous permettra d’en obtenir les meilleurs résultats avec un minimum de désagréments.
Les interventions sont souvent suivies d’une gêne ou d’un inconfort. Des règles simples permettent de gérer au mieux les suites opératoires.
Certaines personnes paraissent avoir subi une forme d’usure prématurée des dents. Quelles en sont les causes et comment y remédier ?
Ce dispositif médical, conçu sur mesure, rétablit une bonne occlusion dentaire, c’est-à-dire un contact équilibré entre les deux mâchoires.
Les choix esthétiques
Différents facteurs peuvent influer sur la coloration des dents : couleur d’origine, mode de vie (consommation de café ou de thé, tabac…), prise de certains médicaments, vieillissement. Le blanchiment « au fauteuil » apporte une réponse pour les dents qui sont très jaunies.
L’émail de la dent étant légèrement poreux, le tabac, le thé, le café, certains bains de bouche peuvent donner à vos dents une coloration disgracieuse.
L’orthodontie consiste à déplacer les dents et à modifier la croissance des mâchoires afin de retrouver un alignement dentaire harmonieux et d’améliorer les fonctions orales.
Différents défauts esthétiques de la cavité buccale sont traités à l’aide de greffes de gencive (prélèvement et déplacement sous anesthésie d’un morceau de gencive).
Les facettes sont des revêtements très fins en céramique (0,5 mm) qui sont collés sur la face externe des dents et permettent un embellissement durable du sourire.
Le blanchiment dentaire est une technique qui permet d’éclaircir la couleur interne des dents afin de leur redonner un éclat et une brillance plus attractives.
Le tiers inférieur du visage, avec particulièrement les dents et la bouche, constitue un élément important pour le regard d'autrui.
La dentisterie adhésive regroupe l’ensemble des traitements destinés à reconstruire ou embellir les dents grâce à des techniques de collage.
Couleur d’origine, mode de vie, vieillissement... Le blanchiment « au fauteuil » apporte une réponse pour l‘éclaircissement des dents très jaunies.
Edentement complet
LES DIFFÉRENTS TRAITEMENTS PAR PROTHÈSE SUR IMPLANTS DENTAIRES DE L'ÉDENTEMENT TOTAL
L'édentement complet ou édentement total représente une situation d'handicap majeur : esthétique, fonctionnel et psychologique. Pendant longtemps, la prothèse amovible, le "dentier", fut le seul traitement possible. Depuis quelques années, la fiabilité des traitements par implants dentaires a permis d'envisager d'autres alternatives plus efficaces. Découvrez dans cette rubrique, les différents traitements d'implantologie pratiqués et proposés aux édentés totaux au sein du cabinet dentaire de la Tour Maubourg.
L'édentement complet maxillaire peut se traiter par prothèse amovible complète ou par un bridge fixe complet sur implants dentaires.
La mise en place d'un bridge complet sur implants dentaires au niveau de l'arcade du haut (l'arcade maxillaire) peut se faire selon 3 modalités qui sont dépendantes de la résorption osseuse de l'arcade et du patient.
Stabiliser une prothèse amovible du haut avec des implants dentaires est une solution de compromis.
L'édentement complet mandibulaire peut être traité par la mise en place d'une prothèse fixe implanto-portée ou par la stabilisation d'une prothèse amovible complète à l'aide de deux implants dentaires.
La réalisation d'une prothèse amovible complète mandibulaire sans implants dentaires n'est plus une thérapeutique conforme aux données acquises de la science.
La mise en place d'un bridge complet sur implants dentaires au niveau de l'arcade du bas (arcade mandibulaire) peut se faire selon 2 modalités qui sont dépendantes de la résorption osseuse de l'arcade et du patient.
La prothèse amovible complète sans implants dentaires n'est plus un traitement conforme aux données acquises de la science.
Le concept All-on-4 peut permettre de traiter simplement un problème d'édentement total par une prothèse fixée sur implants dentaires.
Utiliser plus de 2 implants dentaires pour stabiliser une prothèse amovible complète mandibulaire est inutile.
Lorsque vos dernières dents sont condamnées et doivent être extraites, il est possible d'éviter le port d'un dentier en ayant recours à une prothèse fixée immédiate.
La stabilisation d'une prothèse amovible complète mandibulaire par deux implants dentaires est le traitement minimum devant être proposé à l'édenté total mandibulaire. Utiliser plus de 2 implants dans cette indication change le comportement de cette prothèse et devient risqué sur le plan bio-mécanique.
IMPLANTS DENTAIRES
IMPLANTS DENTAIRES : TOUT SAVOIR
Accepter ses dents telles quʼelles étaient ou s'accommoder dʼune prothèse dentaire à la tenue médiocre a été pendant longtemps une nécessité. Aujourd'hui, les personnes qui se préoccupent de leur apparence ou de leur santé bucco-dentaire peuvent retrouver le sourire grâce à la dentisterie esthétique et aux solutions implantaires modernes.
Comment cela fonctionne
Notre équipe vous prend en charge dès que votre chirurgien-dentiste a posé l'indication des implants dentaires.
C'est lui qui s'occupera de la partie prothétique une fois vos implants posés et ostéointégrés (en moyenne après 3 mois de cicatrisation).
Cette complémentarité médicale et technique avec votre praticien habituel vous assure un suivi optimal, dès votre première visite jusqu'aux consultations de contrôle qui ont lieu à notre cabinet dans les mois et les années qui suivent l'intervention.
Pour vous accompagner, toute l'équipe est formée aux techniques de pointes de la chirurgie implantaire.
Vous bénéficierez de son professionnalisme et de son attention durant toutes les phases de traitement.
Le cabinet médical est doté de 4 salles de soins, d'un bloc opératoire, d'une salle de stérilisation aux normes, d'une imagerie 3D remplaçant le scanner, ainsi que d'un bureau de discrétion et d'une salle de repos.
Toutes les conditions sont réunies pour une réussite parfaite de vos implants dentaires.
Qu'est-ce qu'un implant dentaire ?
Un implant dentaire est assimilable à une racine artificielle. Il se présente le plus souvent sous la forme d'une vis en titane placée dans l'os de la mâchoire. Il remplace la ou les racines d'une dent absente et sert de support pour réaliser une couronne, un bridge ou une prothèse amovible...
Remplacer ses dents
Si l'espace libre laissé par l'extraction de la dent n'est pas comblé, ce qu'il vaudrait mieux éviter, vous risquez peut-être :
- le déplacement des dents adjacentes à la dent manquante pour combler l'espace,
- un vieillissement prématuré du visage causé par la diminution du volume de la mâchoire, conséquence de la perte de la racine de la dent manquante,
- un sourire altéré par la perte d'une dent antérieure et de fait, une confiance en soi amoindrie.
La perte ou la détérioration ne serait-ce que d'une seule dent peut avoir un impact considérable sur la vie quotidienne et l'estime de soi.
Différents facteurs peuvent entraîner la perte des dents.
Certaines personnes perdent leurs dents à la suite d'un accident ou d'une maladie. D'autres héritent simplement de mauvaises dents.
Dans tous les cas, les conséquences peuvent avoir un impact négatif sur votre qualité de vie.
Vous ne pouvez peut être plus déguster les plats que vous aimez ?
Votre apparence vous gêne au point que vous avez même cessé de rire et de sourire spontanément ?
Les implants dentaires aident des milliers de personnes à se sentir mieux dans leur vie en leur permettant de retrouver une véritable qualité de vie grâce à des dents résistantes, qui offrent la même apparence et procurent les mêmes sensations que les dents naturelles.
Dans de nombreux cas, un implant dentaire est la solution la plus esthétique pour remplacer agréablement la dent manquante. Une couronne ou un bridge vient se fixer sur l'implant dentaire et permet ainsi de réaliser une solution complète et esthétique pour retrouver le sourire. L'implant dentaire est posé à la place de la racine de la dent manquante. Il permet d'éviter les inconvénients précédemment mentionnés.
Vous avez la possibilité de remplacer une dent (photo 1), plusieurs dents (photo 2) ou toutes les dents (photo 3).
POUR TOUT SAVOIR SUR LES IMPLANTS DENTAIRES CLIQUEZ ICI !
Preconsultation
Questionnaire pré-rdv
Informations personnelles
(*) Un contact étroit est une personne qui a partagé le même lieu de vie (par exemple : famille, même chambre) que le cas confirmé ou a eu un contact direct avec lui, en face à face, à moins d’1 mètre du cas et/ou pendant plus de 15 minutes, au moment d’une toux, d’un éternuement ou lors d’une discussion ; flirt ; amis intimes ; voisins de classe ou de bureau ; voisins du cas dans un moyen de transport de manière prolongée ; personne prodiguant des soins à un cas confirmé ou personnel de laboratoire manipulant des prélèvements biologiques d’un cas confirmé, en l’absence de moyens de protection adéquats.
















































