Drs Marwan DAAS - Melissa BADEDJI
Dentisterie Esthétique, Prothèses sur Implants & Réhabilitation Globale - Chirurgiens-Dentistes à Paris 7
+33 1 44 07 29 30
62 BD DE LA TOUR MAUBOURG, 75007 PARIS
Drs Marwan DAAS - Melissa BADEDJI
Dentisterie Esthétique, Prothèses sur Implants & Réhabilitation Globale - Chirurgiens-Dentistes à Paris 7

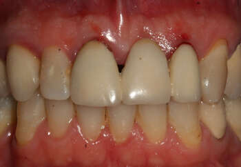
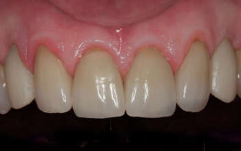
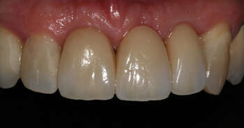
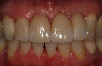
CAS TRAITES AU CABINET DENTAIRE DU DR DAAS


Avant
Après
Avant
Après
Avant
Après
Avant
Après

Articles similaires

Création par Webdentiste

Connexion